Thursday, February 5, 2015

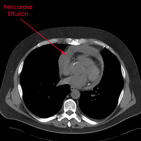
Malignant Pericardial Effusion

Pictures of Malignant Pericardial Effusion

Large Hemorrhagic Pericardial effusion
Large hemorrhagic pericardial effusion, pericardiocentesis, pericardial window large Hemorrhagic Pericardial effusion ered, the condition of one patient with malignant effusion improved after initiation of chemotherapy for lung cancer, ... Document Viewer

Malignant Pericardial Effusion Pictures

Malignant Pleural effusion - Wikipedia, The Free Encyclopedia
Malignant pleural effusion is a condition in which cancer causes an abnormal amount of fluid to collect between the thin layers of tissue lining the outside of the lung and the wall of the chest cavity. ... Read Article

Pictures of Malignant Pericardial Effusion

Treatment Malignant Effusion - JAMA
Treatment of Malignant Pericardial Effusion Paul T. Vaitkus, MD;Howard C. Herrmann, Martin M. LeWinter, MD Objective.\\p=m-\\Todiscussthe diagnosisandtreatmentofmalignantpericardialObjective.\\p=m-\\To fusion and focus on quantitating thesuccess and complication rates of many ... Fetch Document

Malignant Pericardial Effusion Pictures

Pericardial Effusion - SCVSEC
Pericardial Effusion 3924 Fernandina Road • Columbia, SC 29210 • p: 803-561-0015 • f: 803-561-9874 • www.scvsec.com What is the pericardium and what does it normally do? ... Retrieve Content

Malignant Pericardial Effusion Photos

Management Of Malignant Pericardial And Tamponade - JAMA
Management of Malignant Pericardial Effusion and Tamponade Oliver W. Press, MD, PhD, Robert Livingston, MD THE OPTIMAL management of neo-plastic cardiac tamponade has been con- ... Document Viewer

Images of Malignant Pericardial Effusion

Primary effusion Lymphoma - Wikipedia, The Free Encyclopedia
Primary effusion lymphoma (PEL) is a B-cell lymphoma, presenting with a malignant effusion without a tumor mass. [1] [2]:879-881 ... Read Article

Malignant Pericardial Effusion Photos

Malignant Pericardial Effusions - CHEST Journal
Malignant pericardial effusion is probably unnecessarily invasive. Kenneth M. Frankel, MD, FCCP Baystate Medical Center Springfield, MA Reproduction of this article is prohibited without written permis-sion from the American College of Chest Physicians (e-mail: ... Return Document

Pictures of Malignant Pericardial Effusion

Management Of Malignant Pleural Effusions - GICS
Malignant Pleural Effusions (MPE) Definition: Accumulation of fluid in the pleural space •Leads to lung collapse/poor oxygenation •Malignant refers to effusions caused by solid tumours or ... Document Viewer

Pictures of Malignant Pericardial Effusion

Fetal Pericardial Effusion: Diagnosis And Management
Fetal Pericardial Effusion •Normal pericardium –Two layered structure surrounding the heart and proximal great vessels –Lubricated by small amount of fluid ... Read Here

Malignant Pericardial Effusion

# 209 Malignant Pericardial Effusions Print :: Close
Print :: Close FAST FACTS AND CONCEPTS #209 PDF Author(s): Vincent Thai MD Introduction Malignant pericardial effusions (MPEs) are a rare complication of advanced cancer, but are ... Return Document

Malignant Pericardial Effusion Pictures

Malignant Pericardial Effusion - The New England Journal ...
Images in clinical medicine The new engl and journal of medicine e18 n engl j med 364;9 nejm.org march 3, 2011 A 48-year-old man with a history of alcohol and tobacco abuse ... Document Retrieval

Images of Malignant Pericardial Effusion

Pericardial Effusion In Children: Experience From Tertiary ...
Pericardial Effusion in Children: Experience from Tertiary Care Center in (24%) had bacterial, 3 viral, 2 recurrent idiopathic and one had malignant pericardial effusion. Only 3 children in our series required surgical drainage. pericardial puncture was performed in patients with ... Doc Viewer

Pictures of Malignant Pericardial Effusion

Malignant Pericardial Effusion: Sclerotherapy Or Local ...
Letter to the Editor Malignant pericardial effusion: sclerotherapy or local chemotherapy? C Lestuzzi*,1, C Lafaras 2, A Bearz 3, R Gralec4, E Viel1, A Buonadonna and T Bischiniotis ... Access Content

Malignant Pericardial Effusion Pictures

MALIGNANT PERICARDIAL EFFUSION IN CARCINOMA OF THE ... - KoreaMed
Mi Hyang Kim, et al. Malignant pericardial effusion in carcinoma of the uterine cervix palliation of symptoms and may prolong life in women with ... Read Full Source

Malignant Pericardial Effusion Pictures

Pericardial effusion - Wikipedia, The Free Encyclopedia
Pericardial effusion ("fluid around the heart") is an abnormal accumulation of fluid in the pericardial cavity. Because of the limited amount of space in the pericardial cavity, fluid accumulation leads to an increased intrapericardial pressure which can negatively affect heart function. ... Read Article

Malignant Pericardial Effusion Pictures

Mitoxantrone In Malignant Pericardial Effusion
MITOXANTRONE IN MALIGNANT PERICARDIAL EFFUSION 403 have contributed to the successful treatment of the malignant pleural effusion, she was consid- ... Access Full Source

Malignant Cardiac Tamponade - YouTube
Cardiac tamponade in a patient newly diagnosed with Hodgkin Lymphoma. As you can see, right ventricular and right atrium collapsing during diastole with bulging of the interventricular septum in the left ventricular cavity. ... View Video

Pictures of Malignant Pericardial Effusion

Malignancy-Related Pericardial Effusion - ResearchGate
Malignancy-Related pericardial Effusion/Wilkes et al. 1381 and pericardial effusions, 67% proved to have adeno- carcinomas.20 In our series, adenocarcinomas repre- ... Fetch Here

Hemorrhagic Conversion - Why TPA And Other Stroke Treatments ...
Learn why hemorrhagic conversion - bleeding in the brain - precludes most strokes from being treated with intravenous or intraarterial tPA beyond a certain time window. ... Read Article

Malignant Pericardial Effusion Photos

Management Of Malignant Pericardial Effusions
59. Management of Malignant Pericardial Effusions 483 with this problem provide useful information for determining the optimal diagnosis and treat- ... Access Full Source

Malignant Pericardial Effusion Pictures

Linical Microiology Ase Eports - Scient Open Access
Linical Microiology ase eports olume ssue wwwscientonlineorg Clin Microbiol Case Rep ISS 22111 Case Report Malignant pericardial effusion: an unusual presentation of multiple ... Fetch Doc

No comments:

Post a Comment