Friday, January 9, 2015

Malignant Fibrous Histiocytoma

Malignant Fibrous Histiocytoma Photos

Malignant Fibrous Histiocytoma Of Soft Tissue - ResearchGate
Malignant Fibrous Histiocytoma of Soft Tissue An Analysis of 78 Cases Located and Deeply Seated in the Extremities FRANC0 BERTONI, MD'-t3 RODOLFO CAPANNA, MDt.5 ROBERTO BIAGINI, MD,t.§ ... Fetch Content

Pictures of Malignant Fibrous Histiocytoma

Malignant Fibrous Histiocytoma (giant Cell Type) Of Soft ...
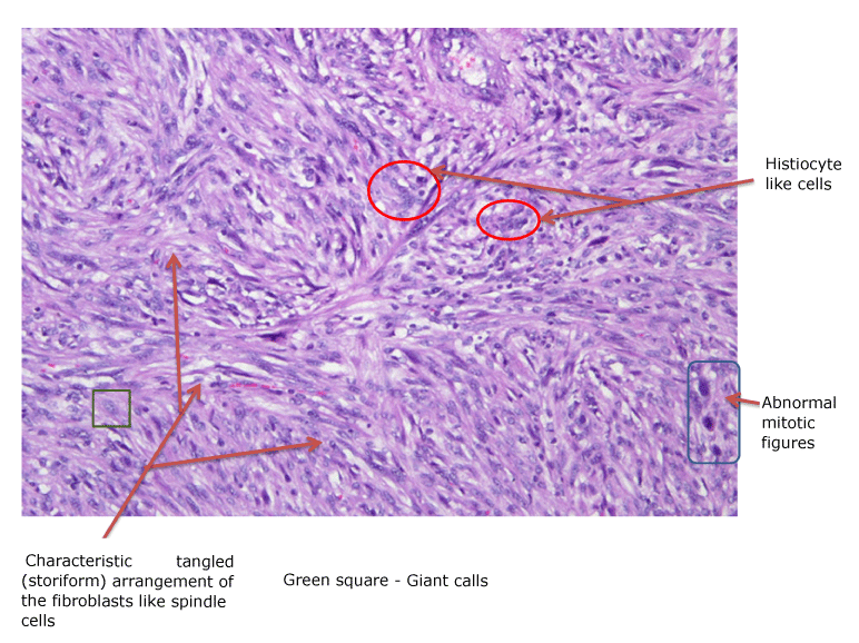
Introduction Malignant fibrous histiocytoma (MFH) refers to a group of soft tissue tumors characterized by a dual population of histiocytic and fibroblastic cells (1,2). ... Document Viewer

What Is A histiocytoma? - About.com Home
Question: What is a histiocytoma? As readers of the Dermatology Diary learned in the entry for week 3, a histiocytoma is "a benign skin tumor, usually seen in young dogs, that often spontaneously regresses without treatment." ... Read Article

Malignant Fibrous Histiocytoma Images

Malignant Fibrous Histiocytoma Of The Hand: MRI
Chin J Radiol 2002; 27: 83-87 83 Malignant fibrous histiocytoma is the most common soft tissue sarcoma in adults. The most common sites of involvement include the ... Fetch Content

Pictures of Malignant Fibrous Histiocytoma

Primary Malignant Fibrous Histiocytoma Of The Kidney: Report ...
ŞEN TÜRK N et al: Malignant Fibrous histiocytoma Türk Patoloji Dergisi/Turkish Journal of Pathology Cilt/Vol. 26, No. 2, 2010; Sayfa/Page 165-167 167 ... Content Retrieval

Malignant Fibrous Histiocytoma Photos

Malignant Fibrous Histiocytoma Of Chest Wall
Journal of Pakistan Association of Dermatologists 2012; 22 (3) :283-286. 284 Figure 1 Malignant fibrous histiocytoma of left posterolateral chest wall. ... Document Viewer

Malignant Fibrous Histiocytoma Pictures

Malignant Fibrous Histiocytoma Of The Limbs - Springer
174 S.-Y. Lee et al.: Malignant fibrous histiocytoma of the limbs Results There were 6 men and 6 women, with an average age of 54 years (range 19-77) (Table 1). ... Document Viewer

Malignant Fibrous Histiocytoma

Malignant Fibrous Histiocytoma - Diagnostic Imaging
Malignant Fibrous Histiocytoma. Published on Diagnostic Imaging (http://www.diagnosticimaging.com) Figure 5. T2W image shows encasement of neurovascular bundle. Malignant fibrous histiocytomas (MFH) (which has more recently been classified as pleomorphic ... View Doc

Malignant Fibrous Histiocytoma Images

Diagnostic Approach To malignant fibrous Histiocytomas Of ...
Diagnostic approach to malignant fibrous histiocytomas of soft tissue in dogs: a case report malignant fibrous histiocytoma of the canine spleen. Veterinary Pathology 29, 351–354. Hoffman MA, Dickersin GR (1983): Malignant fibrous ... View Doc

Malignant Fibrous Histiocytoma Images

Malignant Fibrous Histiocytoma Of Maxilla - Jaypee Journals
Journal of Indian Academy of Oral Medicine and Radiology, January-March 2013;25(1):77-81 79 Malignant Fibrous Histiocytoma of Maxilla JIAOMR entity because of its uncertain histiogenesis. ... Get Document

Malignant Fibrous Histiocytoma Images

Malignant Fibrous Histiocytoma: A Fibrohistiocytic Or ...
Malignant Fibrous Histiocytoma 197 In general, cytology and histology of fibrohistiocytic tumors as a group, including MFH, could be compared with normal loose, areolar fibrous ... View This Document

Dermatofibroma Definition - Benign Skin Bump
A dermatofibroma is a firm, slightly elevated, dome-shaped, benign fibrous histiocytoma, nodular subepidermal fibrosis, histiocytoma, sclerosing hemangioma, dermal dendrocytoma. Related Articles. Moles; Macule; Can a Mole be Tattooed Over? ... Read Article

Malignant Fibrous Histiocytoma - YouTube
This video shows you how to say Malignant Fibrous Histiocytoma. How would you pronounce Malignant Fibrous Histiocytoma? ... View Video

Malignant Fibrous Histiocytoma

Malignant Fibrous Histiocytoma Of The Head And Neck: A Case ...
Of this region. It accounts for less than 0.5% of all head and neck malignancies [3,7]. Malignant fibrous histiocytoma often presents as a painless, enlarging mass of less than 6 months’ duration ... View This Document

Photos of Malignant Fibrous Histiocytoma

A Primary malignant Fibrous Histiocytoma Of The Scalp And ...
CASE REPORT Open Access A primary malignant fibrous histiocytoma of the scalp and intracranial tumor bleeding: a case report Jie Wang, Weiming Zhong, Yinghui Xu, Le Feng, Yang Li and Bin Dong* ... View Document

Images of Malignant Fibrous Histiocytoma

Pleomorphic Fibroma - Wikipedia, The Free Encyclopedia
Malignant fibrous histiocytoma; Atypical fibroxanthoma; Solitary fibrous tumor; Myxomatous: Myxoma/myxosarcoma. Cutaneous myxoma; Superficial acral fibromyxoma; Malignant rhabdoid tumour; Clear-cell sarcoma of the kidney; Hepatoblastoma; Pancreatoblastoma; Carcinosarcoma; ... Read Article

Malignant Fibrous Histiocytoma Pictures

Benign fibrous histiocytoma - Wikipedia, The Free Encyclopedia
Benign fibrous histiocytomas (also known as Dermal dendrocytoma, [1] Dermatofibroma, [2] Fibrous dermatofibroma, [2] Fibrous histiocytoma, [2] Fibroma simplex, [1] Nodular subepidermal fibrosis, [1] and Sclerosing hemangioma [1]) are benign skin growths. ... Read Article

Malignant Fibrous Histiocytoma-Mayo Clinic - YouTube
Mayo Clinic dermatologic surgeon, Dr. Jerry Brewer discusses Malignant Fibrous Histiocytoma. He tells us about the risk factors, diagnosis and treatment of this rare form of soft tissue cancer. ... View Video

Malignant Fibrous Histiocytoma Pictures

Malignant Fibrous Histiocytoma Of The Maxillary Sinus In A ...
CASE REPORT Open Access Malignant Fibrous Histiocytoma of the Maxillary Sinus in a Spray Painter from an Automobile Repair Shop Seok-Hwan Choi1, Se-Yeong Kim2*, Man-Ki Son1, Hui-Seok Yang1, Sun-Woo Lee1, Jung-Il Kim1 and Kap-Yeol Jung1 ... Read Document

Pictures of Malignant Fibrous Histiocytoma

Malignant Fibrous Histiocytoma Originating From The ...
CASE REPORT Open Access Malignant fibrous histiocytoma originating from the mesorectum: a case report Yoshifumi Nakayama*, Noritaka Minagawa, Takayuki Torigoe, Koji Yamaguchi ... Get Content Here

Malignant Fibrous Histiocytoma

Pleomorphic Malignant Fibrous Histiocytoma - NHS Choices
What is pleomorphic malignant fibrous histiocytoma? Pleomorphic malignant fibrous histiocytoma (PMFH) tumours are soft tissue tumours. Soft tissue tumours are diseases where ... Read Here

Images of Malignant Fibrous Histiocytoma

MALIGNANT FIBROUS HISTIOCYTOMA OF THE HEAD AND NECK REGION
ORIGINAL ARTICLE MALIGNANT FIBROUS HISTIOCYTOMA OF THE HEAD AND NECK REGION David W. Clark, MD,1,2 Brian A. Moore, MD,3 Shreyaskumar R. Patel, MD,4 ... Get Document

Causes, Symptoms, Treatment & Prevention Of Bone Cancer
Primary bone cancer is a rare disease that affects both children and adults. Learn the symptoms, causes, diagnosis, and treatment of bone cancer. About.com. Food; Health; malignant fibrous histiocytoma ; fibrosarcoma ; chordoma; Osteosarcoma, ... Read Article

Malignant Fibrous Histiocytoma

Malignant Fibrous Histiocytoma Of The Ethmoid Sinus
The Journal of Laryngology and Otology March 1983. VoL 97. pp. 279-289 Malignant fibrous histiocytoma of the ethmoid sinus by G. B. BROOKE anS d P. E ROS. ... Access This Document

Photos of Malignant Fibrous Histiocytoma

Malignant Fibrous Histiocytoma Of The Liver - Gastroenterology
October 1985 MALIGNANT FIBROUS HISTIOCYTOMA OF THE LIVER 891 Figure 1. Computed tomography showing a large low-density area involving almost the entire portion of the right lobe of i ... Get Document

Pictures of Malignant Fibrous Histiocytoma

Primary Malignant Fibrous Histiocytoma Of The Breast: A Case ...
Conclusion As a malignant neoplasm with poor prognosis, MFH of the breast was rare. Its bad prognosis was related with large tumor and skin invasion. ... View Full Source

Images of Malignant Fibrous Histiocytoma

Sarcoma - Wikipedia, The Free Encyclopedia
Malignant fibrous histiocytoma (8830/3)(This is an obsolete term that is no longer recognized by the World Health Organization. Many of these tumors would currently be classified as "undifferentiated pleomorphic sarcoma".) ... Read Article

No comments:

Post a Comment